Zobna gniloba (zobni karies) je razpad dela zoba in je nasledek postopnega raztapljanja trde zobne substance (sklenine) in napredovanja tega dogajanja v globino. Zobna gniloba je poleg prehlada in obolenja dlesni najpogostnejša tegoba človeštva. Če je ne oskrbimo, se okvara veča in končno uniči zob.
KARIES: Splošno | Simptomi | Vzroki | Diagnoza in preprečevanje | Zdravljenje | Pulpitis | Periapikalni absces | Vprašanja in odgovori | Viri/reference
Vsakodnevno umivanje zob z zobno ščetko in uporaba nitke ohranjata zobe zdrave, saj se z odstranitvijo zobnih oblog in omejitvijo količine zaužitega sladkorja zmanjša verjetnost karioznega razpadanja zob.
Pomembno pomaga fluorirana voda.
Slika: Ko zobna gniloba doseže pulpo, naredi nepopravljivo poškodbo.
.jpeg)
Zobozdravniški jezik:
| Laični izrazi | Strokovni izrazi |
| aparat | ortodontski aparat |
| bolezni dlesni | parodontalne bolezni |
| dlesen | gingiva |
| kamen | kalkulus |
| krona | prevleka |
| nepravilen griz | malokluzija |
| otroški zobje | mlečni zobje |
| preprečevanje | profilaksa |
| smejalni plin | dušikov oksidul |
| spodnja čeljust | mandibula |
| sprednji zobje | sekalci in podočniki |
| srebrne plombe | amalgamske plombe |
| stalni zobje | permanentni zobje |
| ugriz | okluzija |
| ustno nebo | palatum |
| zadnji zobje | ličniki in kočniki |
| zajčja ustnica | heiloshiza |
| zalivka | plomba |
| zgornja čeljust | maksila |
| zobna gniloba | karies |
Kvečjemu zdravju ust in zob pripomore tudi omejitev alkoholnih pijač in tobaka. Tobak povzroča vnetje dlesni ne glede na to, ali ga kadimo ali žvečimo. Tobak in alkohol, zlasti oba skupaj, povzročata ustnega raka.
Simptomi
Zobobol ni samo posledica zobne gnilobe, povzroča ga lahko tudi razgaljena zobna korenina, premočno žvečenje ali počen zob. Zamašeni sinus (obnosna votlina) lahko povzroči občutljivost zgornjih zob.
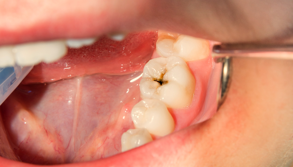
Gniloba v sklenini običajno ne povzroča bolečin; te se pojavijo, ko doseže dentin. Oseba lahko občuti bolečino le med pitjem hladne pijače ali uživanjem sladke hrane. To kaže, da je pulpa še zdrava. Če začnemo z zdravljenjem na tej stopnji, lahko zobozdravnik zob reši; bolnik običajno potem nima več bolečin niti težav z žvečenjem.
Ko zobna gniloba doseže pulpo, naredi nepopravljivo poškodbo. Značilni sta zapoznela bolečina na že zdavnaj odstranjeni dražljaj (na primer: mrzlo vodo) ali spontana bolečina, ki se pojavi sama od sebe.
Video vsebina: Halo zobozdravnik 3: Jure Robič dr. dent. med.

Ko pridejo bakterije do pulpe, ta odmre in bolečine za nekaj časa prenehajo. Po nekaj urah ali dneh postane zob občutljiv za ugriz, dotik z jezikom ali s prstom. Ker se vnetje in okužba razširita skozi odprtino v vrhu korenine v okolico zoba, nastane absces (ognojek).
Gnoj se nabira okoli zoba in ga sili iz alveola (zobne jamice). Pri grizenju se zob vrača na svoje mesto, kar povzroča močne bolečine. Gnoj se neprestano nabira, zato lahko nastane oteklina dlesni v bližini prizadetega zoba ali pa se razširi še na čeljustno kost (flegmona). Gnoj se lahko odceja v usta ali celo skozi kožo v bližini čeljustne kosti.
Vzroki
Za nastanek zobne gnilobe morajo biti prisotni vsi dejavniki: dovzeten zob, bakterije, ki proizvajajo kislino in z njo raztapljajo zob, ter seveda hrana za bakterije. Zob je dovzeten, če vsebuje premalo fluorovih ionov, ima na površini veliko luknjic, izrazitih brazd in fisur, kjer vse se nabirajo obloge (nakopičenje bakterij na zobeh). V ustih je sicer prisotno veliko bakterij, vendar samo nekatere povzročajo zobno gnilobo. Med njimi je najpogostnejši Streptococcus mutans.
Razvoj zobne gnilobe je odvisen od mesta nastanka. Najlažje preprečljiva, najpočasneje napredujoča in najblažja oblika je karies gladkih površin. Začne se kot bel madež na sklenini in nastane zaradi bakterijske topitve njenega kalcija. Običajno se pojavi med dvajsetim in tridesetim letom.
V najstniškem obdobju nastane na stalnih zobeh karies v jamicah in fisurah žvečnih in ličnih zobnih površin. Hitro napreduje. Kljub doslednemu umivanju mnogo ljudi teh mest zaradi nedostopnosti ne zmore zadovoljivo očistiti.
Slika: Zobno gnilobo povzročajo bakterije in druge stvari.
-Copy-1.jpg)
Koreninska gniloba se začne na površini zobne korenine, ki jo pokriva zobni cement - kosti podobno tkivo. V srednjih letih se dlesen začne umikati in zobna korenina postane izpostavljena. Ta vrsta zobne gnilobe nastane zaradi težav pri umivanju in zavoljo prehrane s preveč sladkorja. Spada v skupino kariesa, ki ga je najteže preprečiti.
Sklenina je najtrša zunanja plast zoba, zato karies v njej počasi napreduje. Ko prodre v naslednjo, mehkejšo in manj odporno plast (dentin), napreduje hitreje proti pulpi, osrednjemu delu zoba z živci in žilami. Gniloba potrebuje dve do tri leta, da predre skozi sklenino, a le eno leto od dentina do pulpe, čeprav je ta razdalja veliko večja. Gniloba z začetkom v dentinu torej v kratkem času uniči veliko zobovine.
Diagnoza in preprečevanje
Verjetnost okvare pulpe je manjša, če zobno gnilobo odstranimo pred pojavom bolečin. Tako lahko ohranimo večino zobovine. Za zgodnje odkritje zobne gnilobe bo zdravnik preiskovanca povprašal o bolečinah, pregledal zobe, jih sondiral z zobnimi instrumenti (da bi odkril občutljivost ali mehkost) in morda naročil rentgensko slikanje. Pregled pri zobozdravniku je nujen vsakih šest mesecev, ni pa ob vsakem pregledu potrebno rentgensko slikanje. Za slednje se zobozdravnik odloči glede na stanje zobovja.
Za preprečevanje gnilobe je ključnih pet načinov:
- fluoridi,
- dobra ustna higiena,
- ustrezna prehrana,
- preventivno pečatenje dovzetnih mest na zobeh in
- zdravljenje s protibakterijskimi zdravili.
Ustna higiena Dobra ustna higiena, ki obsega ščetkanje zob pred zajtrkom in po njem ter pred spanjem in vsakodnevno uporabo zobne nitke za odstranitev zobnih oblog, lahko uspešno preprečuje zobno gnilobo na gladkih površinah.
Video vsebina: Kaj povzroča karies.

S ščetkanjem preprečimo nastanek kariesa na zobnih površinah, z nitko pa očistimo tudi mesta, ki jih ščetka ne more doseči. S spodbujevalnikom za dlesni z gumijastim nastavkom lahko odstranimo ostanke hrane izpod roba dlesni, notranje strani ustnic, lic, jezika in neba.
Pravilno ščetkanje opravijo običajno spretni ljudje v približno treh minutah. Prvih 24 ur je obloga mehka, zato jo z zobno ščetko, ki ima mehka vlakna, in nitko zlahka odstranimo. V tako kratkem času je nastanek gnilobe malo verjeten, po 24 urah pa obloge že začenjajo apneti in jih je mnogo težje odstraniti.
Zdravljenje
Če zavremo razvoj zobne gnilobe, še preden doseže dentin, se lahko sklenina sama od sebe utrdi in bele lise na zobu izginejo. Ko gniloba doseže dentin, je treba prizadeti del zoba odstraniti in ga nadomestiti s plombo. Zgodnje zdravljenje zobne gnilobe je zelo pomembno za ohranitev zoba in močno zmanjša možnost poškodbe pulpe.
Prehrana
Vsi ogljikovi hidrati lahko povzročajo zobno gnilobo, toda glavni krivci so sladkorji. Vsi enostavni sladkorji imajo enak učinek na zobe; to so običajen sladkor (saharoza), sladkorji v medu (fruktoza in glukoza), sadju (fruktoza) in mleku (laktoza).
Kadar se v oblogi nahajajo bakterije vrste Streptococcus mutans, začnejo po 20-minutnem stiku s sladkorjem tvoriti kislino. Količina zaužitega sladkorja ni toliko pomembna kot čas njegovega stika z zobmi. Požirek sladke pijače vsako uro je škodljivejši od lizanja čokoladne ploščice pet minut, čeprav ima ploščica več sladkorja.
Slika: Ljudje z večjo nagnjenostjo k zobni gnilobi morajo omejiti sladko hrano.
.jpg)
Ljudje z večjo nagnjenostjo k zobni gnilobi morajo omejiti sladko hrano. Če po zaužitju speremo usta z vodo, z njo sicer delno splaknemo sladkobo, vendar je ščetkanje neprimerno učinkovitejše. Pitje pijač, oslajenih z umetnimi sladili, je priporočljivejše, pri čemer je treba upoštevati, da nekatere brezalkoholne gazirane pijače (dietne kole) vsebujejo kislino, ki pospešuje nastanek gnilobe. Da bi preprečili gnilobo na izpostavljenih koreninskih površinah, moramo piti nesladkano kavo in čaj.
FluoridiFluoridi povečujejo odpornost zobne sklenine proti kislinam, ki raztapljajo zobno substanco in s tem omogočajo nastanek gnilobe. Do enajstega leta starosti so fluorovi pripravki zelo pomembni, saj zobovje v tem času trdi (zori) in raste. Fluoriranje vode je najučinkovitejši način preskrbe s fluorom. V Sloveniji vode ne fluoriramo, v ZDA pa npr. dobi po tej poti dovolj fluora za zmanjšanje zobne gnilobe več kot polovica prebivalcev.
Prevelika količina vnesenega fluora lahko povzroči lisaste in obarvane zobe. Kadar pitna voda ne vsebuje dovolj fluoridov, lahko zdravnik ali zobozdravnik predpiše kapljice ali tablete natrijevega fluorida in zobne paste s fluorjem. Zobozdravnik lahko neposredno nanese fluoride na zobe, kar je smiselno pri ljudeh (ne glede na njihovo starost) z večjo nagnjenostjo k zobni gnilobi.
Koreninsko zdravljenje zob
Snovi za pečatenje fisur Uporabljamo jih za zaščito težko dostopnih mest, predvsem na ličnikih in kočnikih. Po temeljitem očiščenju zobozdravnik sklenino primerno pripravi, nato pa s tekočo plastično maso prekrije brazde na zobu.
Postopek:
- Zob omrtvičimo (anesteziramo).
- Okoli zoba namestimo gumijasto opno (koferdam), da preprečimo stik zoba z bakterijami v ustih.
- Pri zadnjih zobeh naredimo odprtino skozi grizno površino, pri sprednjih pa skozi jezično stran zoba.
- S posebnimi instrumenti gremo skozi narejeno odprtino v pulpni kanal in odstranimo ostanke pulpe.
- Kanal očistimo in ostrugamo po vsej njegovi dolžini.
- Kanal zapolnimo s polnilnim materialom.
Strjena snov postane učinkovita prepreka za bakterije in hrano in tako zavira tvorbo kislin. Sredstva za pečatenje so obstojna; 90 odstotkov jih ostane na mestu po enem letu, 60 odstotkov pa tudi po desetih letih. Občasno so potrebni manjši popravki in zamenjave.
Zdravljenje s protibakterijskimi zdraviliNekateri ljudi imajo v ustih močno agresivne kariogene bakterije. Možen je prenos bak-terij s staršev na otroka, predvsem s poljublja, njem. Bakterije v otrokovih ustih dobro uspe. vajo in lahko povzročijo gnitje že prvih izraslih zob. Nagnjenost k zobni gnilobi torej ni vedno posledica le slabe ustne higiene ali nepravilne prehrane v družini.
Slika: Prevleke so običajno narejene iz zlatih zlitin ali drugih materialov.
.jpg)
Pri ljudeh z večjo nagnjenostjo k zobni gnilobi je priporočljivo zdravljene s protibakterijskimi zdravili. Zobozdravnik mora odstraniti vsa kariozna mesta ter zapečatiti vse luknjice in brazde na zobeh. Potem za nekaj tednov predpiše močno ustno vodo (klorheksidin) za uničenje vseh še prisotnih bakterij v oblogah. Cilj je sprememba bakterijskih vrst v ustih (zaželene so manj agresivne namesto kariogenih). Za vzdrževanje doseženega stanja sta priporočljiva dnevna uporaba fluorovih ustnih vod in žvečenje žvečilnih gumijev s ksilitolom.
Polnila
Polnila so narejena iz različnih materialov, ki jih lahko vstavimo v zob ali okoli njega. Za zadnje zobe najpogosteje uporabljamo srebrov amalgam, ker je zelo odporen in ker barva v tem predelu ni toliko pomembna. Amalgam je tudi sorazmerno poceni in obstojen celo do 14 let. Zlate zalivke (inlay) so močnejše in primernejše za zelo velike zobne poškodbe, vendar dražje. Za njihovo vstavitev sta potrebna vsaj dva obiska pri zobozdravniku.
Kompozitne smole in porcelanske plombe uporabljamo pri sprednjih zobeh, kjer amalgam barvno ni primeren. Barvno se skladajo z zobom, vse bolj pogosto jih uporabljamo tudi za zadnje zobe.
Steklasti cement v barvi zoba (steklasti ionomer) sprošča fluorove ione, kar je ugodno za vse, ki so nagnjeni h kariesu zobnih vratov. Uporabljamo ga za popravo karioznih lezij ob dlesni ali pri poškodbah zoba zaradi premočnega ščetkanja. Po barvi je zelo podoben zobu.
Zdravljenje koreninskih kanalov in ekstrakcija zoba
Če zobna gniloba napreduje do tolikšne mere, da dokončno okvari pulpo, sta edini možnosti za odpravo bolečine odstranitev pulp-nega tkiva iz koreninskega kanala ali odstranitev celotnega zoba. Koreninsko zdravljeni zadnji zobje imajo največ možnosti za ohranitev, če vso njihovo žvečno površino obložimo s prevleko. Pri sprednjih zobeh je način nadomestitve odvisen od količine neprizadetega zoba.
Teden ali dva po koreninskem zdravljenju se lahko včasih pojavijo zvišana telesna temperatura, glavobol, otekanje čeljusti, ustnega dna ali vratu. V takih primerih je treba nemudoma obiskati zdravnika ali zobozdravnika.
Video vsebina: Kako premagati strah pred zobozdravnikom.

Po ekstrakciji (izpuljenju) moramo zob nadomestiti v čim krajšem času. Če tega ne storimo, se spremeni položaj sosednjih zob, kar povzroča motnje pri žvečenju. Nadomestek je lahko mostiček, to je fiksna delna proteza, pri kateri sta sosednja zoba ob manjkajočem zobu pokrita s prevleko. Rešitev pa je lahko tudi snemna proteza. Nadomestitev manjkajočega zoba je možna tudi z vsadkom.
Prevleka je nadomestek, ki se prilega zobu. Da bi dosegli dobro prileganje, sta potrebna vsaj dva, običajno pa več obiskov pri zobozdravniku. Najprej zob stanjša oz. obrusi, vzame njegov odtis in namesti začasno prevleko. Končno prevleko naredijo v protetičnem laboratoriju na osnovi odtisa, kjer jo tudi estetsko oblikujejo. Zobozdravnik pri naslednjem obisku začasno prevleko odstrani, končno prevleko pa cementira na zob.
Prevleke so običajno narejene iz zlatih zlitin ali drugih materialov. Porcelan uporabljamo za prekritje kovinske barve, prevleka je seveda lahko v celoti porcelanska. Ker je porcelan zelo trd in abraziven, lahko obrabi nasprotne zobe. Poleg tega obstaja večja verjetnost, da bodo prevleke, narejene samo iz porcelana ali njemu podobnega materiala, počile kot pa kovinske prevleke.
Pulpitis
Pulpitis je boleče vnetje zobne pulpe, najbolj notranjega dela zoba s krvnimi žilami in živci. Najpogostnejši vzrok pulpitisa je zobna gniloba, sledijo ji poškodbe. Pulpo obdajajo trde stene zoba, ki ob vnetju pulpe ne dopuščajo njenega nabrekanja.
V zobni pulpi se zato poveča pritisk na žile in živce. Blago vnetje, ki ga uspešno zaustavimo, na zobu ne zapusti trajnih posledic, medtem ko hudo vnetje uniči pulpo. Povečani pritisk lahko porine pulpno tkivo skozi koreninski vršek, kar lahko poškoduje okolne čeljustne kosti in tkiva.
Simptomi in diagnoza
Za ugotavljanje stanja pulpe uporablja zobozdravnik različne preskuse. Če testira s hladnim dražljajem in bolečina preneha že nekaj sekund po odstranitvi dražila, je pulpa še zdrava. Zdravnik mora le odstraniti kariozni del zoba in ga nadomestiti s plombo. Če bolečina traja po odstranitvi hladnega dražljaja ali če se pojavi spontano, pa je pulpa že tako okvarjena, da je ni mogoče rešiti.
Slika: Pulpitis povzroča močan zobobol.

Zobozdravnik lahko za preskušanje uporabi tudi električni pulpni tester. Z njim dobi informacijo o tem, ali je pulpa živa ali ne, ničesar pa o stopnji okvarjenosti. Če prizadeti čuti blago električno draženje v pregledovanem zobu, pomeni, da je pulpa živa.
Občutljivost za poklep je znak, da se je vnetje že razširilo na okolno kost in tkivo. Rentgenska slika potrdi kariozni razpad zoba in prikaže širjenje vnetja z okvaro obzobne kosti okoli zobne korenine.
Zdravljenje
Vnetje se zaustavi takoj, ko je odstranjen njegov vzrok. Pri zgodnjem pulpitisu lahko že začasna plomba s pomirjevalno učinkovino odstrani bolečino. Tam naj bi ostala 6 do 8 tednov, nato je treba narediti dokončno plombo, ki jo včasih lahko naredimo takoj. Kadar je pulpa močno in nepopravljivo poškodovana, je edina možnost za odpravo bolečine, da pulpo odstranimo, in sicer z zdravljenjem koreninskega kanala ali z izpuljenjem zoba.
Periapikalni absces
Periapikalni absces je ognojek, katerega vzrok je običajno širjenje okužbe iz zoba v okolno tkivo. Telo varujejo pred okužbo bele krvne celice, ki so poleg mrtvega tkiva glavna sestavina gnoja. Običajno se gnoj, ki nastane v zobu, zaradi okužbe izceja v dlesen ob prizadetem zobu, katera zato ob zobni korenini oteče. Glede na položaj zoba se lahko gnoj izceja tudi skozi kožo, v usta, žrelo ali druge predele glave.
Zdravljenje
Zobozdravnik zdravi absces oziroma flegmono z odstranitvijo vzroka okužbe in odvajanjem gnoja. To naredi s kirurškim posegom ali s koreninskim zdravljenjem. Lahko sicer predpiše antibiotike za ublažitev okužbe, vendar sta veliko pomembnejša odstranitev obolele pulpe in odvajanje gnoja.
Vprašanja in odgovori
Kaj povzroča zobno gnilobo pri otrocih?
Zobno gnilobo povzročajo bakterije in druge stvari. To se lahko zgodi, ko živila, ki vsebujejo ogljikove hidrate (sladkorje in škrob), ostanejo na zobeh. Takšna živila vključujejo mleko, sladkane pijače, suho sadje, sladkarije, sadne sokove, žitarice in kruh. Bakterije, ki običajno živijo v ustih, spremenijo to hrano in tvorijo kisline[1].
Ali se karies zdravi samo s plombo?
Zobne zalivke (plombe) se uporabljajo za zdravljenje votlin, ker zobozdravnik ponavadi želi odstraniti razpadli del (votlino) in ga napolniti, da bi preprečil morebitno nadaljnjo škodo. Čeprav ni načinov za odstranitev votline brez uporabe polnila, obstajajo načini, da skoraj obrnete gnitje[2].
Kakšni so zapleti nezdravljene zobne gnilobe?
Nezdravljene zobne gnilobe lahko povzročijo absces (huda okužba) pod dlesnimi, ki se lahko razširi na druge dele telesa in ima resne ter v redkih primerih smrtne posledice[3].
Kako preprečiti pojav kariesa?
Zobno gnilobo lahko preprečite z zdravo prehrano, izogibanjem sladkanim pijačam, pitju veliko vode iz pipe, umivanju zob dvakrat na dan z zobno pasto s fluoridom in uporabi zobne nitke enkrat na dan[4].
Ali je zobna gniloba lahko genetska?
Vaši geni lahko vplivajo na razvoj vaših zob, kar pomeni, da je razvoj vaših zob lahko razlog, zakaj ste dovzetni za težave. Medtem ko je genetika včasih vzrok za karies, se lahko karies razvije tudi zaradi pomanjkanja slabe ustne higiene, kajenja, pomanjkanja sline ali nenitkanja zob[5].
Viri in reference
Veliki zdravstveni priročnik za domačo uporabo, Založba mladinska knjiga
- Tooth Decay (Caries or Cavities) in Children - https://www.hopkinsmedicine.org
- Is a Dental Filling Always Required for Cavities? - https://www.davidbakerdds.com
- Cavities - https://www.cdc.gov
- Tooth decay - https://www.betterhealth.vic.gov.au
- Are Cavities Genetic? Here’s Everything to Know - https://www.thesuperdentists.com
Facebook
Instagram
info@moja-lekarna.com