Brezplačna poštnina nad 50 EUR, nad 70 EUR DARILO (8 EUR)!!!

Limfom

torek, 01 avgust 2023

Izraz limfom vključuje različne vrste bolezni, od počasi napredujočih, kroničnih, do hitro nastalih, akutnih. Ena vrsta je Hodgkinova bolezen, imenovana po angleškem zdravniku, ki jo je leta 1832 prvi opisal. Vse druge vrste kljub njihovi raznolikosti imenujemo s skupnim imenom ne-Hodgkinovi limfomi.

LIMFOM: Splošno | Simptomi | Vzroki | Diagnostični postopek | Zdravljenje | Preprečevanje | Vprašanja in odgovori | Viri/reference

Po telesu so razpredene majhne žile, po katerih se pretaka brezbarvna tekočina, imenovana mezga ali limfa. V tekočini so razpršeni limfociti, bele krvničke, katerih naloga je, da se borijo proti boleznim in okužbam. Mrežo mezgovnic povezujejo majhni, fižolasti organi, imenovani bezgavke.

Tekočina, imenovana mezga ali limfa, varuje telo pred okužbami - v njej krožijo limfociti, bele krvničke, ki napadajo patogene mikrobe. Glavni organ limfatičnega sistema je vranica, ki je z mrežo mezgovnic povezana z bezgavkami po vsem telesu. Limfociti, ki potujejo skozi tkiva, uničijo večino povzročiteljev okužb, še preden vstopijo v krvni obtok.

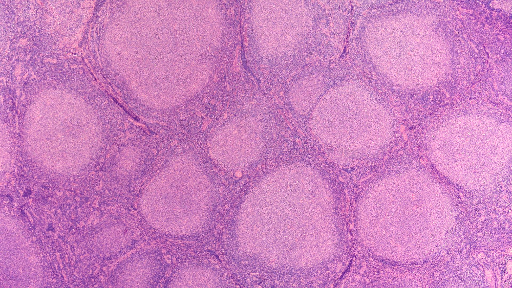
Slika: Limfomi se ponavadi začnejo kot maligni tumor v bezgavkah.

bolečinelimfom.jpg

Bezgavke, ki so nakopičene v pazduhah, vratu, dimljah, prsnem košu in trebuhu, filtrirajo tekočino in sprožijo imunsko obrambo telesa. Limfatični ali mezgovni sistem - v katerega spadajo tudi vranica, priželjc, mandlji in kostni mozeg - telo stalno brani pred milijoni mikroskopsko majhnih napadalcev. Včasih pa se limfociti preobrazijo v rakaste in se začnejo nenadzorovano razmnoževati.

Limfomi se ponavadi začnejo kot maligni tumor v bezgavkah in se nato razširijo po poteh, po katerih potujejo zdravi limfociti - z limfo in krvjo do drugih limfatičnih tkiv in tudi organov zunaj lim-fatičnega sistema. Brez zdravljenja se rakaste celice razmnožujejo in končno popolnoma izrinejo zdrave limfocite in s tem omrtvijo imunski sistem. Hodgkinova bolezen se od drugih limfomov razlikuje po nenormalnih celicah velikankah, imenovanih Reed-Sternbergove velikanke po patologih, ki sta jih prva opisala.

Hodgkinova bolezen se sistematično širi od enega sklopa bezgavk na naslednjega in se na zdravljenje dobro odzove. Ponavadi se začne v bezgavkah v vratu ali nad ključnico; nato se razširi v prsni koš, trebuh in medenico; na koncu zajame organe, kot so vranica, pljuča in tudi kosti ter kostni mozeg.

Slika: Če bolezen zgodaj prepoznamo in zdravimo, je preživetje skoraj 90%.

limfomrak.jpg

V Sloveniji predstavljajo limfomi okoli 2% vseh rakov. Vsako leto odkrijejo okoli 130 novih bolnikov, pribl, tretjina jih ima Hodgkinovo bolezen. Obstaja najmanj 10 vrst ne-Hodgkinovih limfomov. Po malignem napredovanju so razvrščeni v nizko, srednje in visoko maligne. Nizko maligni limfomi ponavadi počasi napredujejo in se ne razširijo zunaj limfatičnega sistema. Visoko maligne vrste se lahko v nekaj mesecih razširijo v oddaljene organe.

Hodgkinova bolezen je trenutno med vsemi raki najbolj ozdravljiva, s povprečnim petletnim preživetjem skoraj 80%; če bolezen zgodaj prepoznamo in zdravimo, je preživetje skoraj 90%. Ne-Hodgkinove limfome je sicer težje zdraviti, a se je v zadnjih letih petletno preživetje izboljšalo od 30 do čez 50%. Nizko maligne vrste lahko z zdravljenjem obvladujemo mnogo let, vendar pa jih je težko popolnoma ozdraviti. Visoko maligne vrste so sicer ob izbruhu bolj nevarne, vendar jih lahko z agresivnim zdravljenjem ozdravimo.

Simptomi

Hodgkinova bolezen, ena vrsta limfomov, posebej pri mlajših ljudeh, ponavadi ne povzroča nobenih simptomov.

Če so prisotni, so simptomi lahko:

  • neboleče bule v vratu, pazduhi ali dimljah, ki jih povzročijo povečane bezgavke;
  • hudo srbenje po vsem telesu;
  • vročina, mrzlica, nočno znojenje, hujšanje, izguba teka, kronična utrujenost in splošna oslabelost;
  • dolgotrajno kašljanje, težko dihanje in bolečine v prsih.

Simptomi ne-Hodgkinovega limfoma so poleg prejšnjih še:

  • tipna tvorba ali napetost v trebuhu zaradi povečane vranice;
  • povečane bezgavke v dimljah;
  • spremembe v odvajanju blata ali krvavitev iz črevesa, če bolezen zajame želodec ali črevo;
  • zamašen nos, vneto žrelo in težave pri požiranju, če bolezen zajame žrelo ali sinuse.

Posvetujte se z zdravnikom, če:

  • odkrijete katerikoli simptom, značilen za limfome. Najpogostejši opozorilni znaki so: povečane bezgavke v vratu, pazduhi ali dimljah; opredeliti je treba vsak simptom, ki traja več kot dva tedna.

Vzroki Hodgkinove bolezni

Vzroka Hodgkinove bolezni ne poznamo. Večina ljudi, pri katerih prepoznajo to vrsto limfoma, je zdravih. Možna je dedna povezava, saj je za sorojence bolnikov s Hodgkinovo boleznijo možnost, da zbolijo, sedemkrat večja kot povprečno. Tudi vzrokov za razvoj ne-Hodgkinovih limfomov v glavnem ne poznamo.

Video vsebina: Opozorilni znaki limfoma.

Burkittov limfom, ki ga najpogosteje najdemo v Afriki, je povezan z okužbo z virusom Epstein-Barr iz družine herpes virusov. Druge limfome so povezali z okužbami z virusom HIV - povzročiteljem aidsa - ali HTLV, ki pripada isti družini. Od pojava aidsa v zgodnjih 80. letih se je incidenca ne-Hodgkinovih limfomov zvečala za 65%, incidenca Hodgkinove bolezni pa se je zmanjšala.

Stanja, ki slabijo imunsko delovanje telesa, npr. presaditev organov, obsevanje in kemoterapija, avtoimunske bolezni, kot sta lupus in revmatoidni artritis, zvečajo tveganje za nastanek ne-Hodgkinovega limfoma.

Diagnostični postopek

Zdravniki limfomov še ne znajo odkriti, preden bolezen sproži simptome. Prvi namig so ponavadi povečane bezgavke v vratu, pazduhah ali dimljah. Opazi jih lahko bolnik sam ali zdravnik pri rutinskem pregledu. Zdravnik postavi sum na limfom, če povečane bezgavke ali vranico spremljajo simptomi, kot so utrujenost, mrzlica ali nočno znojenje.

S preiskavami krvi in seča ter slikovnimi preiskavami lahko odkrijejo nepravilnosti, ki pripeljejo do zgodnje diagnoze limfoma. Bolezen mora biti potrjena z biopsijo - kirurško odstranijo bezgavko, včasih tudi prizadeto kožo ali del pljuč, vzorec nato pregleda patolog. Velikost, oblika in vzorec celic pod mikroskopom določajo, ali je limfom prisoten in, če je, katere vrste je.

Slika: Bolezen mora biti potrjena z biopsijo.

diagnoza.jpg

Če najdejo raka, z nadaljnjimi preiskavami določijo, koliko je razširjen. Limfatični sistem preiskujejo s slikanjem z računalniško tomografijo (CT) ali rentgensko preiskavo, imenovano lim-fangiografija. Pri tej preiskavi bolniku vbrizgajo barvilo, ki povzroči, da se limfatični sistem vidi na rentgenski sliki. Ponavadi tudi punktirajo kostni mozeg, da pregledajo, ali so v njem rakave celice. Včasije potrebna večja, t. i. eksplorativ-na operacija, da določijo natančno razširjenost prizadetih bezgavk.

Zdravljenje

Limfom je rak, ki je zelo občutljiv za obsevanje in kemoterapijo. Tako, kot se je zdravljenje izboljševalo, se je večala verjetnost preživetja. Večina bolnikov z limfomom zdaj po konvencionalnem zdravljenju preživi vsaj pet let. Posebej uspešno je zdravljenje Hodgkinove bolezni: ozdravijo lahko vsaj 75% novo odkritih bolnikov.

Konvencialna medicina

Zdravljenje se razlikuje od bolnika do bolnika; odvisno je od vrste limfoma, prisotnosti ali odsotnosti simptomov, bolnikove starosti in splošnega zdravstvenega stanja. Zato naj bolniki z limfomom, preden začnejo z zdravljenjem, poskušajo dobiti mnenje specialista za limfome.

Hodgkinovo bolezen, ki je omejena na eno bezgavko ali na en sklop, lahko uspešno zdravijo z obsevanjem. Za zdravljenje velikih tumorjev ali razširjene Hodgkinove bolezni pa je najboljše zdravljenje kemoterapija - včasih skupaj z obsevanjem. Tako agresivno zdravljenje ozdravi do 40% bolnikov z napredovalo Hodgkinovo boleznijo.

Zdravljenje je uspešno le z velikimi odmerki toksičnih zdravil in visokimi dozami sevanja, zato ima pogosto neprijetne stranske učinke in lahko povzroča trajne zaplete, kot je neplodnost. Stranske učinke omilijo zdravila in nekateri dopolnilni načini zdravljenja. Moški naj razmislijo o zamrznitvi svoje sperme, preden začnejo z zdravljenjem. Zenske pogosto izgubijo menstruacijo, vendar se lahko po končanem zdravljenju vrne.

Zdravljenje ne-Hodgkinovih limfomov je odvisno predvsem od agresivnosti bolezni. Malo maligne vrste ponavadi zelo počasi napredujejo in se - čeprav se odzovejo na kemoterapijo - ponavljajo. Zdravniki se pogosto odločijo, da bolnika ne izpostavijo nepotrebnemu zdravljenju, ampak ga le skrbno nadzorujejo in ga začnejo zdraviti šele, če se bolezen stopnjuje. Nasprotno pa je visoko maligne limfome treba takoj in agresivno zdraviti z obsevanjem, kemoterapijo ali obojim.

Raziskovalci še naprej iščejo nove možnosti zdravljenja, da bi izboljšali možnosti ozdravitve napredovalih in ponovljenih limfomov. Temeljni cilj je - in je vedno bil - uničiti rakave celice, ne da bi poškodovali zdrave. Raziskujejo različne načine, s katerimi bi to dosegli. Imunoterapevti preizkušajo biološke snovi, npr. interferon, s katerimi spodbujajo imunski sistem, da bi bolj agresivno napadel rakaste celice.

Slika: Brez zdravljenja se rakaste celice razmnožujejo.

krvnaslika.jpg

Drugi raziskovalci sintetizirajo posebne beljakovine, imenovane monoklonska protitelesa, ki so usmerjena le na rakaste celice. Če bi jih združili s toksičnimi spojinami ali radioaktivnimi sredstvi, bi ta protitelesa uničevalne snovi v tumorju skoncentrirala do smrtne količine, ne da bi poškodovala okolna zdrava tkiva. Možnosti za zdravljenje raka vključujejo še druge postopke, s katerimi poskušajo napraviti rakave celice bolj občutljive za sevanje ali zdravila. Včasih se odločijo tudi za presaditev kostnega mozga, da lahko uporabijo višje odmerke kemoterapije.

Bolnike z limfomom je treba po izboljšanju redno onkološko pregledovati, saj se limfom pri velikem odstotku bolnikov v dveh ali treh letih ponovi. Po petih letih remisije po uspešnem zdravljenju Hodgkinove bolezni je ponovitev zelo malo verjetna.

Dopolnilno zdravljenje

Zaradi limfoma in zdravljenja s toksičnimi zdravili in sevanjem imunski sistem oslabi. Z različnimi načini zdravljenja, ki po mnenju strokovnjakov spodbujajo imunost, lahko varno dopolnite standardno zdravljenje, okrepite splošno zdravje in telesu pomagate v boju proti raku. Počitek,

Presaditev kostnega mozga

Pred nekaj desetletji so onkologi (specialisti za rakaste bolezni) stali pred nerešljivo težavo. Vedeli so, da veliki odmerki kemoterapije in visoke doze sevanja lahko »prestopijo prag« za uničenje raka. Vedeli pa so tudi, da bi tako zdravljenje nepopravljivo poškodovalo kostni mozeg, brez katerega ne moremo živeti. Kaj pa če bi kostni mozeg žrtvovali, da uničimo raka, in ga nato nadomestili?

Možna rešitev je bila presaditev kostnega mozga. Danes je priznana kot tvegano, a ustrezno zdravljenje za nekatere vrste raka. Ozdravitev je zdaj možna pri nekaterih, sicer neozdravljivih bolnikih. Pri bolnikih z limfomom za presaditev uporabijo njihov lastni kostni mozeg.

Odvzamejo majhno količino kostnega mozga, ga obdelajo s kemikalijami, da odstranijo rakaste celice, in ga shranijo na hladnem. Medtem prejme bolnik kemoterapijo - včasih skupaj z obsevanjem. Ko so rakaste celice uničene, se hkrati uničijo tudi preostale celice kostnega mozga. Nato v telo intravensko vbrizgajo shranjene nerakaste celice kostnega mozga.

Video vsebina: Folikularni Ne-Hodgkinov limfom - dr. Tanja Južnič Šetina, dr. med.

Nezrele krvne celice se v vbrizganem kostnem mozgu postopoma razmnožijo. Do takrat pa je bolnikov imunski sistem močno zavrt in mu stalno grozijo okužbe. Da to obdobje čimbolj skrajšajo, uporabljajo zdravniki »rastne dejavnike«, ki spodbudijo razmnoževanje zdravih celic kostnega mozga. S to in z drugimi izboljšavami bo presaditev kostnega mozga postala bolj varna in učinkovita metoda zdravljenja raka.

Neda od doma

Kemoterapija in obsevanje povzročata neprijetne stranske učinke, npr. slabost, bruhanje, drisko, utrujenost in občutljivost za okužbe. Zdravnik vam lahko za nekatere težave predpiše zdravila, pa tudi sami lahko naredite vrsto stvari, da simptome olajšate. Jejte lahke obroke. Izogibajte se mlečnim izdelkom in sladki, ocvrti ali mastni hrani. Pred obrokom in po njem popijte obilo tekočine.

Če vam je ob vonju kuhane hrane slabo, jejte hrano hladno ali ohlajeno na sobno temperaturo. Nosite ohlapna oblačila. Pazite, da bo koža vedno čista in da se ne opraskate. Izogibajte se stikov z očitno bolnimi ljudmi. Počivajte, kadarkoli čutite za potrebno, drugače pa se zaposlite z aktivnostmi, ki bodo vaše misli odvrnile od slabega počutja.

Preprečevanje

Ker ne vedo natančno, kaj povzroča limfome, zdravniki ne morejo izdelati natančnih smernic za preprečevanje. Tveganje za nastanek raka nasploh zmanjšate tako, da ostanete čimbolj zdravi. Standardni nasveti so: uravnotežena prehrana, normalna telesna teža, redna telesna vadba in dovolj počitka. Vsi ti ukrepi pripomorejo k boljšemu delovanju imunskega sistema. Med spolnim odnosom uporabljajte kondom, da preprečite okužbo z virusom HIV, razen če ste popolnoma prepričani, da vaš partner ni okužen.

Vprašanja in odgovori

Kaj povzroča limfom?

Zdravniki niso prepričani, kaj povzroča limfom. Vendar se začne, ko bela krvna celica, ki se bori proti bolezni, imenovana limfocit, razvije genetsko mutacijo. Mutacija pove celici, naj se hitro razmnožuje, kar povzroči veliko obolelih limfocitov, ki se še naprej razmnožujejo[1].

Ali je limfom smrtno nevaren?

Celotna 5-letna relativna stopnja preživetja za ljudi z NHL je 74 %. Vendar je pomembno upoštevati, da se stopnje preživetja lahko zelo razlikujejo za različne vrste in stopnje limfoma[2].

Kaj je Hodgkinova bolezen?

Hodgkinov limfom (Hodgkinova bolezen) je rak, ki se začne v belih krvnih celicah, imenovanih limfociti[3].

Kako poteka zdravljenje limfoma?

Zdravljenje limfoma lahko vključuje kemoterapijo, zdravila za imunoterapijo, radioterapijo, presaditev kostnega mozga ali kombinacijo teh[4].

Ali se limfomu lahko izognemu?

Ni zanesljivega načina za preprečevanje ne-Hodgkinovega limfoma (NHL). Večina ljudi z NHL nima dejavnikov tveganja, ki bi jih bilo mogoče spremeniti, zato ni možnosti za zaščito pred temi limfomi[5].

Viri in reference

  1. Lymphoma - https://www.mayoclinic.org
  2. Survival Rates and Factors That Affect Prognosis for Non-Hodgkin Lymphoma - https://www.cancer.org
  3. Hodgkin Lymphoma - https://www.cancer.org
  4. Can Non-Hodgkin Lymphoma Be Prevented? - https://www.cancer.org
  5. Non-Hodgkin's Lymphoma Prevention - https://www.saintfrancis.com
newsletter banner

Pridruži se nam in prihrani!

Prijavi se, prejmi brezplačno kremo Eucerin, ki bo tvojo kožo pripravila na smučarsko sezono, in postani del družine na moja-lekarna.com, kjer te čakajo najnovejše informacije in posebne ponudbe.