Vprašanje stranke:
Kako izgleda impetigo? Vprašanje anonimne stranke
Odgovor farmacevta:
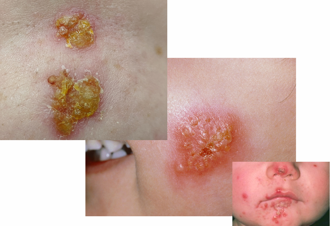
Impetigo je površinska bakterijska okužba kože, ki jo najpogosteje povzročajo bakterije Staphylococcus aureus in Streptococcus pyogenes. Najpogosteje se pojavlja pri majhnih otrocih, vendar se lahko pojavi pri ljudeh vseh starosti. Impetigo se najpogosteje pojavlja na obrazu, zlasti okoli ust in nosu, lahko pa tudi na rokah, nogah ali drugih delih telesa.
- Začetna faza: majhne rdeče pike ali mehurčki, ki se lahko hitro povečajo.
- Mehurčki: napolnjeni so s tekočino, ki lahko počijo.
- Krastice: ko mehurček poči, se oblikujejo medeno-rumene krastice, ki so značilne za impetigo.
- Razjede: pri hujših oblikah ali če se okužba ne zdravi, se lahko razvijejo večje razjede.

Znaki in simptomi impetiga:
- Mehurčki in krastice: začne se z majhnimi rdečimi pikami ali mehurčki, ki se hitro povečajo in počijo, nato pa nastanejo medeno-rumene krastice.
- Srbenje: prizadeto območje pogosto srbi.
- Razjede: okužba se lahko razvije v boleče razjede, zlasti če se praska ali drgne.
- Oteklina in rdečina: območje okoli mehurčkov in krastic je pogosto oteklo in rdeče.
Zanimivo branje: Impetigo pri otrocih
Facebook
Instagram
info@moja-lekarna.com